私たちのアゴの骨は、年齢が低いほど弾力性に富んでいます。
当院の矯正治療では、この骨の弾力性と上下の骨の成長を考慮しながら、正しい咬み合わせに歯列を導いてきれいな歯並びに育てます。
歯がきれいに並ぶためには、生えてくるべき場所が確保されていなければなりません。成長の遅れている上下のアゴの骨を正常な大きさにまで拡大したり、奥歯をさらに奥に動かしたり、歯並びをつくる6歳臼歯を正しい位置に動かしたりする様々な方法によって、永久歯がきれいに並ぶようにしていきます。
スペースがないからと無理に永久歯を抜くことがありませんから、痛みなく矯正治療ができます。無理に拡げるのではなく本来あるべき成長発育にまで戻すことが基本になります。
また、頭の骨とアゴの骨とのバランスが大事なのです。そのために矯正治療を行う前に十分な検査を行います。
矯正装置が目立つことを気にして矯正を敬遠している方がいましたが、現在では、つけていることがほとんど目立たない歯の色に近い装置や透明な装置、歯の裏側につける矯正装置を使って、周りの人に気づかれずに矯正治療ができます。若い世代では美の基準も変わり、歯並びやきれいな口元を演出する時代になってきました。

歯の裏側に装着するリンガル装置

歯に似た色の目立たない装置
現在当歯科医院では人目に付きやすい上顎前歯部は歯質と同色のセラミック製ブラケットを装着し、目立ちにくい歯に対してはセラミック製に比べ形態的に小さく頬粘膜・唇粘膜等に傷つきにくい(口内炎になりにくいように、通常使用されているメタルブラケットよりより小さい)メタル製ブラケットを採用しています。
抜歯をする矯正は、永久歯の歯並びが完成するころから始めます。
当院では抜歯をせずにきれいな歯並びを得るために、骨が成長過程にある低年齢から始めます。
早期に矯正治療をおすすめする理由に、最近の子どもに見られる口呼吸の問題があります。口で呼吸する人は口の中での舌の位置が悪く、歯が並ぶスペースがなくなったり、猫背になったり、前歯を押し出したりなどの影響が出て顔貌が変形していきます。
しかし、早期に治療を始めることで、これらの影響を防ぐことができるのです。
当院で矯正治療に使用する材料をご紹介します。

形状記憶合金ワイヤー:冷水に触れると柔らかくなる性質があり、治療初期の装置装着時におこる痛みを「うがい」によって緩和することができます。治療に使用する器具はすべて完全滅菌にて個別にご用意しています。

また、使い捨てできる材料は感染防止のため、すべて「使い捨て」にして治療を行っています。
.

| 主訴 | 右上の奥歯が内側に歯があり舌が痛い |
|---|---|
| 診断名 | 上顎第二小臼歯舌側転位 |
| 初診時年齢 | 14才 |
| 装置名 | 3Dセクショナルアーチ(3D sec) |
| 抜歯非抜歯 | 非抜歯矯正 |
| 治療期間 | 14ヵ月(その後全顎歯科矯正:3年) |
| 費用の目安 | 全顎歯科矯正:100万円程度 |
| リスク副作用 | 歯根吸収・・レントゲン照射量少ないデジタルレントゲンで定期的に検査し対処していきます カリエス・・・当医院ではカリエス処置も行っています。叢生の著しい部位では矯正治療により間隙が出来た後に治療するので健全歯質の削合も必要最小限で治療可能です |
通常なら、上顎の内側に転位した、第二小臼歯を抜歯される症例と思われますが、当医院では、3Dセクショナルアーチ(3D sec)を装着して、大切な永久歯を抜歯しないで矯正治療を行うことにより、上下顎の咬み合せの高さを高くする(本来の正常歯列の高さにする)治療を行っています。非抜歯矯正治療により、下顎骨の右側へのズレを防止し、顎関節への負担軽減、(顎関節症の防止)を考慮した治療法と考えています。


| 主訴 | 左上の八重歯と下の歯のガタツキが気になる |
|---|---|
| 診断名 | 下顎第二大臼歯近心傾斜を伴う叢生症例 |
| 初診時年齢 | 22才 |
| 装置名 | 下顎:アメリカ製のリンガルアーチ(3Dリンガルアーチ)、上顎:アメリカ製のクワッドヘリックス(3Dクワッドヘリクス)、フルブラケットシステム |
| 抜歯非抜歯 | 非抜歯矯正 |
| 治療期間 | 3年5ヵ月 |
| 費用の目安 | 全顎歯科矯正:100万円程度 |
| リスク副作用 | 歯根吸収・・レントゲン照射量少ないデジタルレントゲンで定期的に検査し対処していきます カリエス・・・当医院ではカリエス処置も行っています。叢生の著しい部位では矯正治療により間隙が出来た後に治療するので健全歯質の削合も必要最小限で治療可能です 歯周病・・・日本歯周病学会専門医でもあり、毎治療時に歯科衛生士と共に歯周治療を同時に行うことでより良い改善を目指しています |
通常なら、4本の第二小臼歯と4本の智歯を抜歯される症例と思われますが、当医院では、埋伏している4本の智歯のみ抜歯し上顎は3Dクワッド・へリックスにて歯列拡大、下顎はアメリカ製のリンガルアーチ(3Dリンガルアーチ)を装着して、近心傾斜している下顎右側第二大臼歯を整直させ、下顎両側第一大臼歯も整直させました。後にフルブラケットシステムで大切な永久歯を抜歯しないで矯正治療を行う、非抜歯矯正治療により、初診時訴えていた、肩こり、耳鳴り、右側顎関節のクリック音も改善され、顎関節への負担軽減がはかれた症例と思われます。

| 主訴 | 右上の八重歯と下の歯のガタツキが気になる |
|---|---|
| 診断名 | 上下顎叢生症例 |
| 初診時年齢 | 15才 |
| 装置名 | 下顎:アメリカ製のリンガルアーチ(3Dリンガルアーチ)、上顎:アメリカ製のクワッドヘリックス(3Dクワッドヘリクス)、フルブラケットシステム |
| 抜歯非抜歯 | 非抜歯矯正 |
| 治療期間 | 3年2ヵ月 |
| 費用の目安 | 全顎歯科矯正:100万円程度 |
| リスク副作用 | 歯根吸収・・レントゲン照射量少ないデジタルレントゲンで定期的に検査し対処していきます カリエス・・・当医院ではカリエス処置も行っています。叢生の著しい部位では矯正治療により間隙が出来た後に治療するので健全歯質の削合も必要最小限で治療可能です |
通常なら、4本の第二小臼歯と4本の智歯を抜歯される症例と思われますが、当医院では、下顎はアメリカ製のリンガルアーチ(3Dリンガルアーチ)を装着して、舌側傾斜している下顎左側第二小臼歯を整直させ、下顎両側第一大臼歯も整直させました。埋伏している4本の智歯のみ抜歯し上顎は3Dクワッド・へリックスにて歯列拡大後にフルブラケットシステムで大切な永久歯を抜歯しないで矯正治療を行う、非抜歯矯正治療を行いました。

| 主訴 | 上顎左右側の八重歯が気になる |
|---|---|
| 診断名 | 下顎第二大臼歯近心傾斜を伴う叢生症例 |
| 初診時年齢 | 25才 |
| 装置名 | 下顎:アメリカ製のリンガルアーチ(3Dリンガルアーチ)、上顎:アメリカ製のクワッドヘリックス(3Dクワッドヘリクス)、フルブラケットシステム |
| 抜歯非抜歯 | 非抜歯 |
| 治療期間 | 2年5ヵ月 |
| 費用の目安 | 全顎歯科矯正:100万円程度 |
| リスク副作用 | 歯根吸収・・レントゲン照射量少ないデジタルレントゲンで定期的に検査し対処していきます カリエス・・・当医院ではカリエス処置も行っています。叢生の著しい部位では矯正治療により間隙が出来た後に治療するので健全歯質の削合も必要最小限で治療可能です 歯周病・・・日本歯周病学会専門医でもあり、毎治療時に歯科衛生士と共に歯周治療を同時に行うことでより良い改善を目指しています |
10年前位から両側肩こり、数年前からは両側腰痛に悩まされていました。2年前右下親知らずを抜歯してから、右側顎関節にクリック音を伴う顎関節症になり不定愁訴も増悪しました。初診時下顎は上顎正中に対して3㎜左側に変位していました。当医院では、下顎にハードタイプスプリントを装着し、下顎を生理的な筋肉位に是正することで不定愁訴も軽減されました。通常なら、4本の第二小臼歯を抜歯される症例と思われますが、上顎は3Dクワッド・へリクスにて歯列拡大、下顎はアメリカ製のリンガルアーチ(3Dリンガルアーチ)を装着して、近心傾斜している下顎両側第一大臼歯を整直させ、下顎犬歯間副径を拡大することで下顎前歯部の叢生を改善しました。後にフルブラケットシステムで大切な永久歯を抜歯しない非抜歯矯正治療にて行いました。初診時訴えていた、不定愁訴(肩こり、腰痛、右側顎関節のクリック音等)も改善され、上下顎の正中も一致し顎関節への負担軽減がはかれた症例と思われます。
他の矯正医・小児歯科医・大学病院等で「永久歯を便宜的の抜歯を行わないと歯列矯正出来ない」、また、「矯正治療途中で抜歯症例に移行を告げられた」と言われセカンドオピニオンで当医院を受診しに来て頂いています。
当医院では大切な永久歯をなるべく間引きしないで咬合誘導し一生自分の歯で咬める咬み合わせを築いています。

| 主訴 | 受け口が気になる |
|---|---|
| 診断名 | 反対咬合(受け口) |
| 初診時年齢 | 5才 |
| 装置名 | 歯列矯正用咬合誘導装置(ムーシールド)・アクチバートル(FKO) |
| 抜歯非抜歯 | 非抜歯 |
| 治療期間 | 6ヵ月 |
| 費用の目安 | 全顎歯科矯正:50万円程度 |
| リスク副作用 | 歯根吸収・・レントゲン照射量少ないデジタルレントゲンで定期的に検査し対処していきます カリエス・・・当医院ではカリエス処置も行っています。叢生の著しい部位では矯正治療により間隙が出来た後に治療するので健全歯質の削合も必要最小限で治療可能です |
装置 歯列矯正用咬合誘導装置(ムーシールド)・アクチバートル(FKO)
3歳児検診で年間約4~5万人(4~5%)が反対咬合自然治癒する割合は1割に満たないとのこと。寝ている間に装置を装着6ヶ月から1年で約9割の患者さんに改善が見られる。(毎日新聞・2006年5月25日)
初診時年齢 5歳
治療期間 6ヶ月

| 主訴 | 上顎左右側の八重歯が気になる |
|---|---|
| 診断名 | 叢生症例(八重歯) |
| 初診時年齢 | 11才 |
| 装置名 | 下顎:アメリカ製のリンガルアーチ(3Dリンガルアーチ)、上顎:アメリカ製のクワッドヘリックス(3Dクワッドヘリクス)、フルブラケットシステム |
| 抜歯非抜歯 | 非抜歯 |
| 治療期間 | 2年6ヵ月 |
| 費用の目安 | 全顎歯科矯正:100万円程度 |
| リスク副作用 | 歯根吸収・・レントゲン照射量少ないデジタルレントゲンで定期的に検査し対処していきます カリエス・・・当医院ではカリエス処置も行っています。叢生の著しい部位では矯正治療により間隙が出来た後に治療するので健全歯質の削合も必要最小限で治療可能です |
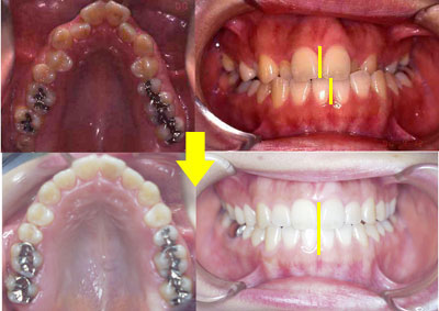
八重歯が気になり来院しました。永久歯4本を間引き(抜歯)する治療法も考えられますが、当院では永久歯を一本も抜かず矯正治療しました。
治療前(初診時)11歳
治療後 14歳
治療期間 2年6ヶ月

| 主訴 | 上顎左右側の犬歯が生えるスペースがなく八重歯になりそう |
|---|---|
| 診断名 | 叢生症例(八重歯) |
| 初診時年齢 | 9才 |
| 装置名 | 下顎:アメリカ製のリンガルアーチ(3Dリンガルアーチ)、上顎:アメリカ製のクワッドヘリックス(3Dクワッドヘリクス)、フルブラケットシステム |
| 抜歯非抜歯 | 非抜歯 |
| 治療期間 | 2年5ヵ月 |
| 費用の目安 | 全顎歯科矯正:100万円程度 |
| リスク副作用 | 歯根吸収・・レントゲン照射量少ないデジタルレントゲンで定期的に検査し対処していきます カリエス・・・当医院ではカリエス処置も行っています。叢生の著しい部位では矯正治療により間隙が出来た後に治療するので健全歯質の削合も必要最小限で治療可能です |
下顎は受け口、上顎は著しい乱くい歯です。永久歯を4本間引きして治療する事も考えられますが、当医院では永久歯を一本も抜かないで治療しました。
治療前(初診時)9歳
治療後 12歳
治療期間 2年5ヶ月

| 主訴 | 上顎の左右側の八重歯が気になる |
|---|---|
| 診断名 | 叢生症例(八重歯) |
| 初診時年齢 | 14才 |
| 装置名 | 下顎:アメリカ製のリンガルアーチ(3Dリンガルアーチ)、上顎:アメリカ製のクワッドヘリックス(3Dクワッドヘリクス)、フルブラケットシステム |
| 抜歯非抜歯 | 非抜歯 |
| 治療期間 | 3年3ヵ月 |
| 費用の目安 | 全顎歯科矯正:100万円程度 |
| リスク副作用 | 歯根吸収・・レントゲン照射量少ないデジタルレントゲンで定期的に検査し対処していきます カリエス・・・当医院ではカリエス処置も行っています。叢生の著しい部位では矯正治療により間隙が出来た後に治療するので健全歯質の削合も必要最小限で治療可能です |
4本横の歯を間引きして治療する事も考えられますが、当院では大切な永久歯を間引きしないで、矯正治療しました。
治療前(初診時)14歳
治療後17歳
治療期間 3年3ヶ月

| 主訴 | 左上の八重歯が気になる |
|---|---|
| 診断名 | 叢生症例(八重歯) |
| 初診時年齢 | 25才 |
| 装置名 | 下顎:アメリカ製のリンガルアーチ(3Dリンガルアーチ)、上顎:アメリカ製のクワッドヘリックス(3Dクワッドヘリクス)、フルブラケットシステム |
| 抜歯非抜歯 | 抜歯(上顎左側小臼歯のみの抜歯) |
| 治療期間 | 2年10ヵ月 |
| 費用の目安 | 全顎歯科矯正:100万円程度 |
| リスク副作用 | 歯根吸収・・レントゲン照射量少ないデジタルレントゲンで定期的に検査し対処していきます カリエス・・・当医院ではカリエス処置も行っています。叢生の著しい部位では矯正治療により間隙が出来た後に治療するので健全歯質の削合も必要最小限で治療可能です 歯周病・・・日本歯周病学会専門医でもあり、毎治療時に歯科衛生士と共に歯周治療を同時に行うことでより良い改善を目指しています |
入院するほど頭痛と顎関節の痛みがあり、大学病院で4本抜く矯正を勧められた患者さんですが、当院では左上の永久歯を一本だけ抜き、治療を終えました。
治療前(初診時)25歳
治療後28歳
治療期間 2年10ヶ月

| 主訴 | 左側の咬み合わせがズレている |
|---|---|
| 診断名 | 左側顎関節症・上顎狭窄歯列弓 |
| 初診時年齢 | 25才 |
| 装置名 | 下顎:アメリカ製のリンガルアーチ(3Dリンガルアーチ)、上顎:アメリカ製のクワッドヘリックス(3Dクワッドヘリクス)、フルブラケットシステム |
| 抜歯非抜歯 | 非抜歯 |
| 治療期間 | 2年10ヵ月 |
| 費用の目安 | 全顎歯科矯正:100万円程度 |
| リスク副作用 | 歯根吸収・・レントゲン照射量少ないデジタルレントゲンで定期的に検査し対処していきます カリエス・・・当医院ではカリエス処置も行っています。叢生の著しい部位では矯正治療により間隙が出来た後に治療するので健全歯質の削合も必要最小限で治療可能です 歯周病・・・日本歯周病学会専門医でもあり、毎治療時に歯科衛生士と共に歯周治療を同時に行うことでより良い改善を目指しています |
下顎の中心が左へ4㎜ずれている為、顎関節症を訴えている患者さんです。当医院では永久歯を1本も抜かない矯正により正中も合わせ不定愁訴も改善されました。
動的治療期間 2年10ヶ月

| 主訴 | 上顎が八重歯になってきている |
|---|---|
| 診断名 | 叢生症例(八重歯) |
| 初診時年齢 | 12才 |
| 装置名 | 下顎:アメリカ製のリンガルアーチ(3Dリンガルアーチ)、上顎:アメリカ製のクワッドヘリックス(3Dクワッドヘリクス)、フルブラケットシステム |
| 抜歯非抜歯 | 非抜歯 |
| 治療期間 | 2年8ヵ月 |
| 費用の目安 | 全顎歯科矯正:100万円程度 |
| リスク副作用 | 歯根吸収・・レントゲン照射量少ないデジタルレントゲンで定期的に検査し対処していきます カリエス・・・当医院ではカリエス処置も行っています。叢生の著しい部位では矯正治療により間隙が出来た後に治療するので健全歯質の削合も必要最小限で治療可能です |
4本横の歯を間引きして治療する事も考えられる八重歯のケースですが、当院では大切な永久歯を間引きしないで、矯正治療をしました。
動的治療期間 2年8ヶ月

| 主訴 | 左上の八重歯と受け口が気になる |
|---|---|
| 診断名 | 反対咬合(受け口) 叢生症例(片側八重歯) |
| 初診時年齢 | 27才 |
| 装置名 | 上顎:アメリカ製のクワッドヘリックス(3Dクワッドヘリクス)、フルブラケットシステム |
| 抜歯非抜歯 | 非抜歯 |
| 治療期間 | 2年1ヵ月 |
| 費用の目安 | 全顎歯科矯正:100万円程度 |
| リスク副作用 | 歯根吸収・・レントゲン照射量少ないデジタルレントゲンで定期的に検査し対処していきます カリエス・・・当医院ではカリエス処置も行っています。叢生の著しい部位では矯正治療により間隙が出来た後に治療するので健全歯質の削合も必要最小限で治療可能です 歯周病・・・日本歯周病学会専門医でもあり、毎治療時に歯科衛生士と共に歯周治療を同時に行うことでより良い改善を目指しています |
大学病院で外科矯正を勧められセカンドオピニオンにて来院。
上顎にクワッドベリックス装着し被蓋を改善しFBSフルブラケットシステムにて咬合を確立し前歯部はプロセラ(オールセラミック)にて審美的補綴修復行いました。
動的治療期間2年1ヶ月

| 主訴 | 下の前歯がガタガタで出血する |
|---|---|
| 診断名 | 叢生症例 |
| 初診時年齢 | 58才 |
| 装置名 | 下顎:アメリカ製のリンガルアーチ(3Dリンガルアーチ)、フルブラケットシステム |
| 抜歯非抜歯 | 非抜歯 |
| 治療期間 | 2年0ヵ月 |
| 費用の目安 | 全顎歯科矯正:100万円程度 |
| リスク副作用 | 歯根吸収・・レントゲン照射量少ないデジタルレントゲンで定期的に検査し対処していきます カリエス・・・当医院ではカリエス処置も行っています。叢生の著しい部位では矯正治療により間隙が出来た後に治療するので健全歯質の削合も必要最小限で治療可能です 歯周病・・・日本歯周病学会専門医でもあり、毎治療時に歯科衛生士と共に歯周治療を同時に行うことでより良い改善を目指しています |
初診時年齢58才 治療期間24ヶ月
初診時下顎前歯の著しい叢生により十分な歯ブラシができず歯槽膿漏となり歯肉腫脹・出血のある患者さんです。
下顎の歯列の拡大を行いFBSにて前歯部の叢生を治す矯正治療を併用することで歯並びもよくなり歯ブラシが行いやすくなり、患者さんも満足されました。
現在は引き締まった歯肉となり患者さんも月に1度必ず来院されメインテナンスを行っています。

| 主訴 | 全ての歯がガタガタで咬みづらい |
|---|---|
| 診断名 | 骨格性Ⅲ級(骨格性受け口) 上顎鞍状歯列 叢生症例 |
| 初診時年齢 | 22才 |
| 装置名 | 下顎:アメリカ製のリンガルアーチ(3Dリンガルアーチ)、上顎:アメリカ製のクワッドヘリックス(3Dクワッドヘリクス)、フルブラケットシステム |
| 抜歯非抜歯 | 非抜歯(4本智歯抜歯のみ) |
| 治療期間 | 3年6ヵ月 |
| 費用の目安 | 全顎歯科矯正:100万円程度 |
| リスク副作用 | 歯根吸収・・レントゲン照射量少ないデジタルレントゲンで定期的に検査し対処していきます カリエス・・・当医院ではカリエス処置も行っています。叢生の著しい部位では矯正治療により間隙が出来た後に治療するので健全歯質の削合も必要最小限で治療可能です 歯周病・・・日本歯周病学会専門医でもあり、毎治療時に歯科衛生士と共に歯周治療を同時に行うことでより良い改善を目指しています |
初診時年齢22才 治療期間3年6ヶ月
最初大学病院で外科矯正を勧められ、2件目の矯正専門医にて4本便宜抜歯を勧められ当医院受診されました。
17番のみEXT18番を咬合させるように治療計画
上顎はクワッドベリックス下顎はリンガルアーチで拡大を行い後にFBSにて仕上げの矯正治療を行いました。

| 主訴 | 左上の八重歯が気になる |
|---|---|
| 診断名 | 叢生症例(八重歯) |
| 初診時年齢 | 11才 |
| 装置名 | 下顎:アメリカ製のリンガルアーチ(3Dリンガルアーチ)、上顎:アメリカ製のクワッドヘリックス(3Dクワッドヘリクス)、フルブラケットシステム |
| 抜歯非抜歯 | 非抜歯 |
| 治療期間 | 2年6ヵ月 |
| 費用の目安 | 全顎歯科矯正:100万円程度 |
| リスク副作用 | 歯根吸収・・レントゲン照射量少ないデジタルレントゲンで定期的に検査し対処していきます カリエス・・・当医院ではカリエス処置も行っています。叢生の著しい部位では矯正治療により間隙が出来た後に治療するので健全歯質の削合も必要最小限で治療可能です |
上下顎4番を4本の便宜抜歯を考える事もできる症例です。
上顎にクワッドヘリックス装着し下顎はリンガルアーチで臼歯部アップライト拡大を行い後にFBSにて仕上げ矯正治療を行いました。

| 主訴 | 受け口が気になる |
|---|---|
| 診断名 | 骨格性反対咬合(受け口) |
| 初診時年齢 | 14才 |
| 装置名 | 下顎:アメリカ製のリンガルアーチ(3Dリンガルアーチ)、第臼歯遠心移動装置、上顎:アメリカ製のクワッドヘリックス(3Dクワッドヘリクス)、フルブラケットシステム |
| 抜歯非抜歯 | 非抜歯 |
| 治療期間 | 2年8ヵ月 |
| 費用の目安 | 全顎歯科矯正:100万円程度 |
| リスク副作用 | 歯根吸収・・レントゲン照射量少ないデジタルレントゲンで定期的に検査し対処していきます カリエス・・・当医院ではカリエス処置も行っています。叢生の著しい部位では矯正治療により間隙が出来た後に治療するので健全歯質の削合も必要最小限で治療可能です |
大学病院で外科矯正を勧められセカンドオピニオンにて来院。
バイメトリックディスタライジングアーチにて下顎大臼歯の遠心移動を行うことで非抜歯にて矯正治療を行いました。

| 主訴 | 上下顎前歯のガタガタが気になる |
|---|---|
| 診断名 | 叢生症例(八重歯) 上顎前突(唇が閉じづらい) |
| 初診時年齢 | 16才 |
| 装置名 | 下顎:アメリカ製のリンガルアーチ(3Dリンガルアーチ)、上顎:アメリカ製のクワッドヘリックス(3Dクワッドヘリクス)、フルブラケットシステム |
| 抜歯非抜歯 | 上顎抜歯(上顎両側2本小臼歯抜歯)、下顎非抜歯 |
| 治療期間 | 4年5ヵ月 |
| 費用の目安 | 全顎歯科矯正:100万円程度 |
| リスク副作用 | 歯根吸収・・レントゲン照射量少ないデジタルレントゲンで定期的に検査し対処していきます カリエス・・・当医院ではカリエス処置も行っています。叢生の著しい部位では矯正治療により間隙が出来た後に治療するので健全歯質の削合も必要最小限で治療可能です |
16才⇒20才(上顎のみ14・24番EXT)。
4本の便宜抜歯を行う事も考えられる症例ですが当医院では下顎は非抜歯で治療を行いました。

| 主訴 | 左上の前歯が出てこない |
|---|---|
| 診断名 | 上顎前歯埋伏(真横に埋まっている) 上下顎狭窄歯列弓 |
| 初診時年齢 | 9才 |
| 装置名 | 下顎:アメリカ製のリンガルアーチ(3Dリンガルアーチ)、上顎:アメリカ製のクワッドヘリックス(3Dクワッドヘリクス)、フルブラケットシステム |
| 抜歯非抜歯 | 非抜歯 |
| 治療期間 | 5年3ヵ月 |
| 費用の目安 | 全顎歯科矯正:120万円程度 |
| リスク副作用 | 歯根吸収・・レントゲン照射量少ないデジタルレントゲンで定期的に検査し対処していきます カリエス・・・当医院ではカリエス処置も行っています。叢生の著しい部位では矯正治療により間隙が出来た後に治療するので健全歯質の削合も必要最小限で治療可能です |
9才⇒14才(非抜歯)。
上下顎が小さく左上の前歯が真横に埋伏しています。
4本便宜抜歯を考えられるの症例ですが非抜歯で行いました。

| 主訴 | 前歯で咬めない |
|---|---|
| 診断名 | 骨格性Ⅲ級(骨格性受け口) 開咬症例(奥歯でしか咬めない) |
| 初診時年齢 | 34才 |
| 装置名 | 下顎:アメリカ製のリンガルアーチ(3Dリンガルアーチ)、上顎:アメリカ製のクワッドヘリックス(3Dクワッドヘリクス)、フルブラケットシステム |
| 抜歯非抜歯 | 下顎のみ抜歯(下顎両側第二大臼歯抜歯) |
| 治療期間 | 3年8ヵ月 |
| 費用の目安 | 全顎歯科矯正:120万円程度 |
| リスク副作用 | 歯根吸収・・レントゲン照射量少ないデジタルレントゲンで定期的に検査し対処していきます カリエス・・・当医院ではカリエス処置も行っています。叢生の著しい部位では矯正治療により間隙が出来た後に治療するので健全歯質の削合も必要最小限で治療可能です 歯周病・・・日本歯周病学会専門医でもあり、毎治療時に歯科衛生士と共に歯周治療を同時に行うことでより良い改善を目指しています |
34才⇒37才 (下顎のみ37・47番のみEXT)。
外科矯正を考えられる症例ですが、矯正治療のみで治療しました。

| 主訴 | 前歯の咬み合わせが反対で、下の前歯がグラつく |
|---|---|
| 診断名 | 骨格性Ⅲ級(骨格性受け口) 開咬症例(前歯で咬みきれない) |
| 初診時年齢 | 34才 |
| 装置名 | 下顎:B.D.アーチ(下顎大臼歯遠心移動装置)、アメリカ製のリンガルアーチ(3Dリンガルアーチ)、上顎:アメリカ製のクワッドヘリックス(3Dクワッドヘリクス)、フルブラケットシステム |
| 抜歯非抜歯 | 非抜歯 |
| 治療期間 | 3年8ヵ月 |
| 費用の目安 | 全顎歯科矯正:120万円程度 |
| リスク副作用 | 歯根吸収・・レントゲン照射量少ないデジタルレントゲンで定期的に検査し対処していきます カリエス・・・当医院ではカリエス処置も行っています。叢生の著しい部位では矯正治療により間隙が出来た後に治療するので健全歯質の削合も必要最小限で治療可能です 歯周病・・・日本歯周病学会専門医でもあり、毎治療時に歯科衛生士と共に歯周治療を同時に行うことでより良い改善を目指しています |
34才⇒37才(下顎大臼歯遠心移動 非抜歯)。
成人の受け口の為外科矯正も考えられる症例です。
下顎大臼歯を後方に移動するアメリカで開発された特殊な装置を用い矯正治療のみで改善しました。

矯正治療に関するお問合せを承っております。以下のフォームよりご相談下さい。
診療の合間を見て、ご相談に応じさせて頂いております。お返事にお時間がか かる場合がありますがどうかご了承下さい。
また、1週間過ぎても返事がこない場合はサーバー上の問題が考えられますので吉本矯正・歯科(043-292-6480)までお知らせ下さい。